Afta na dziąśle to bolesna nadżerka, która może znacząco utrudniać jedzenie i mówienie. Charakteryzuje się czerwoną obwódką oraz białawym lub żółtawym nalotem w centralnej części. Wiele osób może doświadczyć afty w wyniku drobnych urazów mechanicznych, takich jak otarcia podczas jedzenia lub mycia zębów. W niektórych przypadkach afty mogą być także objawem poważniejszych schorzeń, dlatego warto je dobrze poznać.
W tym artykule przedstawimy, jak wygląda afta na dziąśle, jakie są jej objawy oraz przyczyny powstawania. Dowiesz się również, jak leczyć afty oraz kiedy warto skonsultować się z lekarzem. Dzięki temu będziesz mógł skutecznie zidentyfikować problem i podjąć odpowiednie kroki w celu jego rozwiązania.
Najistotniejsze informacje:- Afty na dziąśle to bolesne nadżerki, które mogą powodować dyskomfort przy jedzeniu i mówieniu.
- Charakteryzują się czerwoną obwódką oraz białawym lub żółtawym nalotem.
- Powstają często w wyniku urazów mechanicznych, ale mogą również wskazywać na inne schorzenia.
- W przypadku dużych, nawracających aft, konieczna jest konsultacja z lekarzem.
- Istnieją domowe sposoby łagodzenia objawów, ale w niektórych przypadkach wymagane są leki dostępne na receptę.
Jak rozpoznać aftę na dziąśle? Kluczowe cechy wizualne
Afta na dziąśle to bolesna nadżerka, która może znacząco wpływać na komfort jedzenia i mówienia. Zwykle ma czerwoną obwódkę oraz białawy lub żółtawy nalot w centralnej części. Warto zwrócić uwagę na te cechy, aby móc szybko zidentyfikować problem. Afty są zazwyczaj niewielkie, ale ich obecność może powodować duży dyskomfort.
Objawy afty obejmują nie tylko widoczne zmiany w jamie ustnej, ale także uczucie pieczenia lub ból, który nasila się podczas jedzenia lub picia. W przypadku wystąpienia tych objawów, warto zasięgnąć informacji na temat dalszych kroków, które można podjąć w celu złagodzenia dolegliwości.
Jakie są typowe objawy afty na dziąśle? Zrozumienie dyskomfortu
Typowe objawy afty na dziąśle to ból, który może być ostry i utrudniać codzienne czynności, takie jak jedzenie czy mówienie. Oprócz bólu, można zauważyć opuchliznę w okolicy afty oraz uczucie dyskomfortu w jamie ustnej. Często afty pojawiają się nagle i mogą nawracać, co jest dodatkowym źródłem frustracji dla osób, które ich doświadczają.
- Ostry ból, który nasila się przy jedzeniu lub piciu.
- Opuchlizna w okolicy afty, która może powodować dyskomfort.
- Uczucie pieczenia lub swędzenia w miejscu wystąpienia afty.
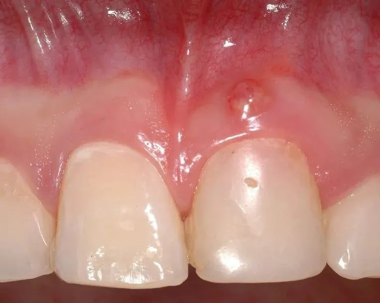
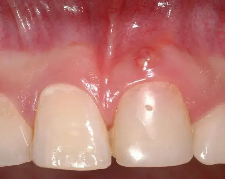
Jak wygląda afta na dziąśle? Przykłady zdjęć dla identyfikacji
Afty na dziąśle mają charakterystyczny wygląd, co ułatwia ich identyfikację. W przypadku afty można zauważyć czerwoną obwódkę oraz centralny nalot, który może być biały lub żółty. Warto zwrócić uwagę na te cechy, aby odróżnić afty od innych zmian w jamie ustnej, takich jak opryszczka czy pleśniawki. Poniżej znajduje się tabela, która porównuje symptomy afty z innymi powszechnymi zmianami w jamie ustnej.| Rodzaj zmiany | Cechy charakterystyczne |
| Afta | Czerwona obwódka, białawy lub żółtawy nalot |
| Opryszczka | Małe pęcherzyki wypełnione płynem, które pękają |
| Pleśniawki | Białe plamy, które mogą być bolesne i powodować dyskomfort |
Jak leczyć afty na dziąśle? Praktyczne porady i metody
Leczenie aft na dziąśle może być różnorodne i zależy od nasilenia objawów. Wiele osób decyduje się na domowe sposoby, które mogą przynieść ulgę w bólu i dyskomforcie. Do popularnych metod należy stosowanie płukanek z soli, które pomagają w redukcji stanu zapalnego oraz przyspieszają gojenie. Można również wykorzystać miód, który działa przeciwzapalnie i łagodzi podrażnienia.
Oprócz domowych metod, dostępne są także leki bez recepty, które mogą pomóc w łagodzeniu objawów afty. Produkty zawierające benzydaminę są często polecane, ponieważ mają działanie przeciwbólowe oraz przeciwzapalne. Inne preparaty, takie jak żele na afty, tworzą barierę ochronną na powierzchni rany, co zmniejsza ból podczas jedzenia i picia. Warto zwrócić uwagę na skład tych produktów, aby wybrać te najbardziej skuteczne.
Kiedy należy udać się do lekarza? Znaki alarmowe do obserwacji
W niektórych przypadkach afty mogą wskazywać na poważniejsze problemy zdrowotne. Jeśli afty są duże, nawracają lub nie ustępują po kilku dniach, warto skonsultować się z lekarzem. Dodatkowo, jeśli występują inne objawy, takie jak gorączka, trudności w połykaniu czy ból w innych częściach ciała, należy pilnie zasięgnąć porady medycznej. Lekarz może zalecić dalsze badania lub odpowiednie leczenie, aby wykluczyć poważniejsze schorzenia.
- Utrzymująca się afta przez ponad 7 dni.
- Wzmożony ból, który nie ustępuje po zastosowaniu leków.
- Obecność innych objawów, takich jak gorączka czy trudności w jedzeniu.
Czytaj więcej: Czy sum ma zęby? Odkryj, jak wyglądają i do czego służą
Jak leczyć afty na dziąśle? Praktyczne porady i metody
Leczenie aft na dziąśle może być zróżnicowane, w zależności od nasilenia objawów. Wiele osób korzysta z domowych sposobów, które mogą przynieść ulgę w bólu i dyskomforcie. Do popularnych metod należy stosowanie płukanek solnych, które pomagają w redukcji stanu zapalnego oraz przyspieszają gojenie. Można też wykorzystać miód, który działa przeciwzapalnie i łagodzi podrażnienia, a także aloes, który ma właściwości kojące.
Oprócz domowych metod, dostępne są także leki bez recepty, które mogą pomóc w łagodzeniu objawów afty. Preparaty zawierające benzydaminę są często polecane, ponieważ mają działanie przeciwbólowe i przeciwzapalne. Inne preparaty, takie jak żele na afty, tworzą barierę ochronną na powierzchni rany, co zmniejsza ból podczas jedzenia i picia. Warto zwrócić uwagę na skład tych produktów, aby wybrać te najbardziej skuteczne.
Kiedy należy udać się do lekarza? Znaki alarmowe do obserwacji
W niektórych przypadkach afty mogą wskazywać na poważniejsze problemy zdrowotne. Jeśli afty są duże, nawracają lub nie ustępują po kilku dniach, warto skonsultować się z lekarzem. Dodatkowo, jeśli występują inne objawy, takie jak gorączka, trudności w połykaniu czy ból w innych częściach ciała, należy pilnie zasięgnąć porady medycznej. Lekarz może zalecić dalsze badania lub odpowiednie leczenie, aby wykluczyć poważniejsze schorzenia.
- Utrzymująca się afta przez ponad 7 dni.
- Wzmożony ból, który nie ustępuje po zastosowaniu leków.
- Obecność innych objawów, takich jak gorączka czy trudności w jedzeniu.
Jak leczyć afty na dziąśle? Praktyczne porady i metody
Leczenie aft na dziąśle może być zróżnicowane, w zależności od nasilenia objawów. Wiele osób korzysta z domowych sposobów, które mogą przynieść ulgę w bólu i dyskomforcie. Do popularnych metod należy stosowanie płukanek solnych, które pomagają w redukcji stanu zapalnego oraz przyspieszają gojenie. Można też wykorzystać miód, który działa przeciwzapalnie i łagodzi podrażnienia, a także aloes, który ma właściwości kojące.
Oprócz domowych metod, dostępne są także leki bez recepty, które mogą pomóc w łagodzeniu objawów afty. Preparaty zawierające benzydaminę są często polecane, ponieważ mają działanie przeciwbólowe i przeciwzapalne. Inne preparaty, takie jak żele na afty, tworzą barierę ochronną na powierzchni rany, co zmniejsza ból podczas jedzenia i picia. Warto zwrócić uwagę na skład tych produktów, aby wybrać te najbardziej skuteczne.
Kiedy należy udać się do lekarza? Znaki alarmowe do obserwacji
W niektórych przypadkach afty mogą wskazywać na poważniejsze problemy zdrowotne. Jeśli afty są duże, nawracają lub nie ustępują po kilku dniach, warto skonsultować się z lekarzem. Dodatkowo, jeśli występują inne objawy, takie jak gorączka, trudności w połykaniu czy ból w innych częściach ciała, należy pilnie zasięgnąć porady medycznej. Lekarz może zalecić dalsze badania lub odpowiednie leczenie, aby wykluczyć poważniejsze schorzenia.
- Utrzymująca się afta przez ponad 7 dni.
- Wzmożony ból, który nie ustępuje po zastosowaniu leków.
- Obecność innych objawów, takich jak gorączka czy trudności w jedzeniu.

Jak leczyć afty na dziąśle? Praktyczne porady i metody
Leczenie aft na dziąśle może być zróżnicowane, w zależności od nasilenia objawów. Wiele osób korzysta z domowych sposobów, które mogą przynieść ulgę w bólu i dyskomforcie. Do popularnych metod należy stosowanie płukanek solnych, które pomagają w redukcji stanu zapalnego oraz przyspieszają gojenie. Można też wykorzystać miód, który działa przeciwzapalnie i łagodzi podrażnienia, a także aloes, który ma właściwości kojące.
Oprócz domowych metod, dostępne są także leki bez recepty, które mogą pomóc w łagodzeniu objawów afty. Preparaty zawierające benzydaminę są często polecane, ponieważ mają działanie przeciwbólowe i przeciwzapalne. Inne preparaty, takie jak żele na afty, tworzą barierę ochronną na powierzchni rany, co zmniejsza ból podczas jedzenia i picia. Warto zwrócić uwagę na skład tych produktów, aby wybrać te najbardziej skuteczne.
Kiedy należy udać się do lekarza? Znaki alarmowe do obserwacji
W niektórych przypadkach afty mogą wskazywać na poważniejsze problemy zdrowotne. Jeśli afty są duże, nawracają lub nie ustępują po kilku dniach, warto skonsultować się z lekarzem. Dodatkowo, jeśli występują inne objawy, takie jak gorączka, trudności w połykaniu czy ból w innych częściach ciała, należy pilnie zasięgnąć porady medycznej. Lekarz może zalecić dalsze badania lub odpowiednie leczenie, aby wykluczyć poważniejsze schorzenia.
- Utrzymująca się afta przez ponad 7 dni.
- Wzmożony ból, który nie ustępuje po zastosowaniu leków.
- Obecność innych objawów, takich jak gorączka czy trudności w jedzeniu.
Jak zapobiegać nawrotom afty na dziąśle? Praktyczne strategie
Aby zapobiegać nawrotom afty na dziąśle, warto wprowadzić kilka zmian w codziennej diecie oraz stylu życia. Kluczowe znaczenie ma unikanie pokarmów drażniących, takich jak ostre przyprawy, cytrusy czy twarde produkty, które mogą podrażniać błonę śluzową jamy ustnej. Zamiast tego, warto włączyć do diety więcej produktów bogatych w witaminy, zwłaszcza witaminę B12, kwas foliowy oraz żelazo, które wspierają zdrowie błon śluzowych.
Dodatkowo, techniki relaksacyjne, takie jak medytacja czy joga, mogą pomóc w redukcji stresu, który często jest czynnikiem wywołującym afty. Regularne ćwiczenia fizyczne również wpływają pozytywnie na ogólną odporność organizmu. Warto również rozważyć konsultację z dietetykiem, który pomoże dostosować dietę do indywidualnych potrzeb, co może przyczynić się do zmniejszenia ryzyka wystąpienia aft w przyszłości.




