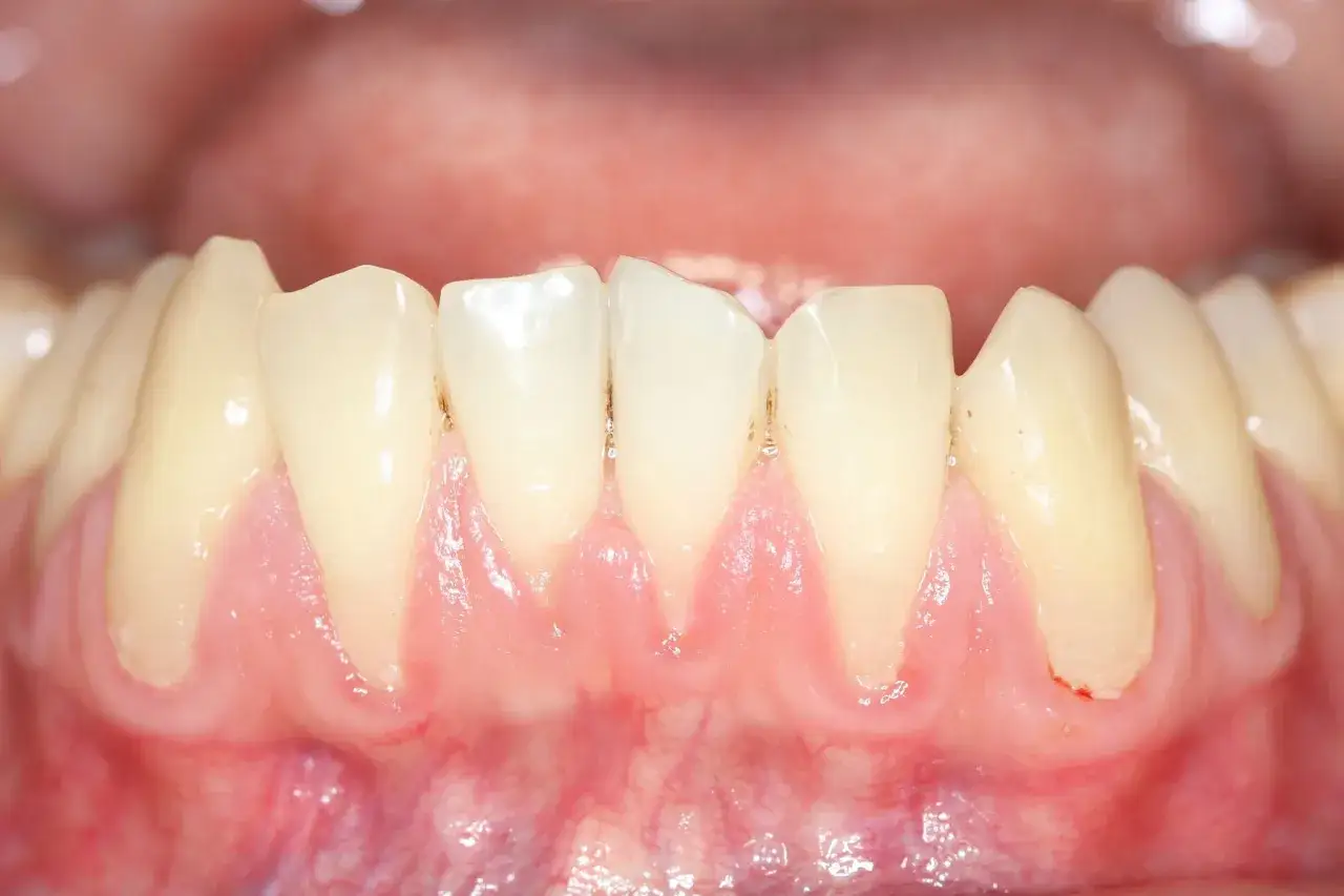
Gdy ząb rośnie na dziąśle, ważne jest, aby nie ignorować tej sytuacji. Może ona wskazywać na problemy z miejscem w łuku zębowym, co prowadzi do nieprawidłowego wyrzynania się zęba. W takich przypadkach natychmiastowa konsultacja z dentystą jest kluczowa, ponieważ tylko specjalista może ocenić sytuację i zaproponować odpowiednie metody leczenia.
W artykule omówimy różne metody postępowania w przypadku zęba rosnącego na dziąśle, w tym chirurgiczne usunięcie oraz ortodontyczne wyprowadzenie zęba. Ponadto, przedstawimy objawy, które wymagają pilnej interwencji, a także domowe sposoby łagodzenia dyskomfortu. Regularna higiena jamy ustnej jest również istotna w zapobieganiu takim problemom, dlatego warto znać skuteczne metody dbania o zdrowie zębów.
Kluczowe wnioski:- Natychmiastowa konsultacja z dentystą jest niezbędna, gdy ząb rośnie na dziąśle.
- Chirurgiczne usunięcie zęba jest często konieczne, gdy ząb nie wyrasta prawidłowo.
- Ortodontyczne wyprowadzenie zęba to skuteczna alternatywa dla młodszych pacjentów.
- Objawy takie jak ból i dyskomfort mogą wskazywać na poważniejsze problemy zdrowotne.
- Domowe metody, takie jak płukanie solą, mogą pomóc w łagodzeniu bólu.
- Regularna higiena jamy ustnej zapobiega problemom z wyrastaniem zębów.
Co zrobić gdy ząb rośnie na dziąśle? Najważniejsze kroki
Gdy ząb rośnie na dziąśle, nie należy tego bagatelizować. Taka sytuacja może prowadzić do poważnych problemów zdrowotnych, w tym bólu i infekcji. Natychmiastowa konsultacja z dentystą jest kluczowa, ponieważ specjalista może ocenić, co dokładnie się dzieje i zaproponować odpowiednie kroki. Ignorowanie tego problemu może prowadzić do dalszych komplikacji, które mogą wymagać bardziej inwazyjnego leczenia.Warto pamiętać, że ząb rosnący na dziąśle może być wynikiem braku miejsca w łuku zębowym, co prowadzi do nieprawidłowego wyrzynania się zęba. W takim przypadku, dentysta może zlecić badania, takie jak zdjęcia rentgenowskie, aby dokładnie zrozumieć sytuację. Im szybciej zostanie podjęta decyzja o konsultacji, tym większe szanse na skuteczne i mniej inwazyjne leczenie.
Natychmiastowa konsultacja z dentystą - klucz do zdrowia
Niektóre objawy wskazują, że należy jak najszybciej udać się do dentysty. Ból, opuchlizna oraz trudności w jedzeniu to sygnały, że ząb może powodować poważniejsze problemy. Jeśli ząb nie może się przebić przez dziąsło, może to prowadzić do stanu zapalnego, który wymaga natychmiastowej interwencji. W takich sytuacjach, nie należy czekać, ponieważ szybka akcja może zapobiec dalszym komplikacjom zdrowotnym.
Wizyta u dentysty pozwala na zdiagnozowanie problemu i podjęcie odpowiednich kroków. Specjalista może zalecić leczenie, które najlepiej odpowiada sytuacji, co może obejmować zarówno metody chirurgiczne, jak i ortodontyczne. Warto pamiętać, że im szybciej zareagujemy, tym większe szanse na zachowanie zdrowia zębów i uniknięcie bólu.
Potencjalne metody leczenia zęba rosnącego na dziąśle
Gdy ząb rośnie na dziąśle, istotne jest, aby znać dostępne metody leczenia. W zależności od sytuacji, stomatolog może zalecić różne podejścia, aby rozwiązać problem. Wśród najczęstszych opcji znajdują się chirurgiczne usunięcie zęba oraz ortodontyczne wyprowadzenie go na właściwe miejsce. Każda z tych metod ma swoje zastosowanie i jest dostosowana do indywidualnych potrzeb pacjenta, co czyni je kluczowymi w procesie leczenia.
Ważne jest, aby zrozumieć, że decyzja o wyborze konkretnej metody leczenia powinna być poprzedzona dokładną diagnozą. Stomatolog oceni, czy ząb wymaga usunięcia, czy może być uratowany dzięki technikom ortodontycznym. Warto również pamiętać, że odpowiednie leczenie może znacząco wpłynąć na komfort pacjenta oraz na zdrowie jamy ustnej w przyszłości.
Chirurgiczne usunięcie zęba - kiedy jest konieczne?
Chirurgiczne usunięcie zęba jest często konieczne, gdy ząb nie może prawidłowo przejść przez dziąsło. Taka sytuacja może prowadzić do bólu oraz stanów zapalnych, co wymaga interwencji. Proces usunięcia zęba zazwyczaj polega na nacięciu dziąsła, aby umożliwić lepszy dostęp do zęba. W niektórych przypadkach może być konieczne również nacięcie struktury kostnej, jeśli ząb jest uwięziony pod nią.
Podczas zabiegu lekarz znieczuli pacjenta, aby zminimalizować dyskomfort. Po usunięciu zęba, pacjent może odczuwać ból i obrzęk, które są normalnymi objawami pooperacyjnymi. Ważne jest, aby ściśle przestrzegać zaleceń lekarza dotyczących pielęgnacji po zabiegu, aby przyspieszyć proces gojenia i zminimalizować ryzyko powikłań.Ortodontyczne wyprowadzenie zęba - skuteczna alternatywa
Ortodontyczne wyprowadzenie zęba to metoda stosowana w celu skierowania zęba do właściwej pozycji, gdy nie wyrasta on prawidłowo. Technika ta polega na zastosowaniu różnych aparatów ortodontycznych, które stopniowo przesuwają ząb w odpowiednie miejsce w łuku zębowym. W przeciwieństwie do chirurgicznego usunięcia, ortodoncja daje szansę na zachowanie naturalnego zęba, co jest szczególnie ważne dla młodszych pacjentów.
W procesie ortodontycznym stosuje się różne rodzaje aparatów, w tym tradycyjne aparaty stałe oraz nowoczesne nakładki ortodontyczne, takie jak alignery. Aparaty stałe składają się z zamków przymocowanych do zębów oraz drutu, który jest regularnie regulowany przez ortodontę. Z kolei alignery to przezroczyste nakładki, które można łatwo zdjąć i które są mniej widoczne, co czyni je popularnym wyborem wśród dorosłych pacjentów.
| Typ aparatu | Zalety | Wady |
|---|---|---|
| Aparaty stałe | Skuteczne w skomplikowanych przypadkach, stałe wsparcie | Widoczne, mogą powodować dyskomfort |
| Alignery | Estetyczne, wygodne, możliwość zdjęcia | Nie zawsze skuteczne w trudnych przypadkach, wymagają dyscypliny w noszeniu |
Ból i dyskomfort - co oznaczają dla Twojego zdrowia?
Ból i dyskomfort związany z zębem rosnącym na dziąśle mogą być sygnałami, że coś jest nie tak. Często objawy te wskazują na problemy, takie jak stan zapalny dziąsła lub zęba, które mogą prowadzić do poważniejszych komplikacji zdrowotnych. Ignorowanie bólu może skutkować infekcją, a także wpływać na ogólne samopoczucie pacjenta. Warto zwrócić uwagę na intensywność bólu oraz towarzyszące mu objawy, takie jak obrzęk czy krwawienie.
W przypadku, gdy ból jest silny lub utrzymuje się przez dłuższy czas, konieczna może być konsultacja z dentystą. Specjalista oceni stan zdrowia jamy ustnej i zidentyfikuje przyczynę dyskomfortu. Czasami ból może być spowodowany zbyt małą przestrzenią w łuku zębowym, co prowadzi do nieprawidłowego wyrzynania się zęba. W takich sytuacjach ważne jest, aby nie czekać z wizytą u dentysty, aby uniknąć dalszych problemów zdrowotnych.
Czytaj więcej: Czy sum ma zęby? Odkryj, jak wyglądają i do czego służą
Domowe sposoby na złagodzenie dyskomfortu przy wyrzynaniu
W przypadku bólu i dyskomfortu związanych z zębem rosnącym na dziąśle, istnieje kilka domowych sposobów, które mogą przynieść ulgę. Jednym z najprostszych rozwiązań jest płukanie jamy ustnej ciepłą solanką, co pomaga w redukcji stanu zapalnego i łagodzeniu bólu. Można również stosować zimne okłady na zewnętrzną stronę policzka, aby zmniejszyć obrzęk i złagodzić ból.
Innym skutecznym sposobem jest zastosowanie olejku goździkowego, który ma naturalne właściwości przeciwbólowe i przeciwzapalne. Warto również rozważyć stosowanie preparatów dostępnych w aptekach, takich jak żele lub płyny do płukania jamy ustnej, które zawierają składniki łagodzące ból. Pamiętaj, że te metody mogą przynieść ulgę, ale nie zastąpią profesjonalnej pomocy medycznej, jeśli ból będzie się utrzymywał.- Płukanie jamy ustnej ciepłą solanką - pomaga w redukcji stanu zapalnego.
- Stosowanie zimnych okładów na policzek - zmniejsza obrzęk i ból.
- Użycie olejku goździkowego - naturalny środek przeciwbólowy.
Naturalne metody łagodzenia bólu zęba - co warto wypróbować?
W przypadku bólu zęba, istnieje wiele naturalnych metod, które mogą przynieść ulgę. Jednym z najpopularniejszych sposobów jest stosowanie olejku goździkowego, który ma właściwości przeciwbólowe i przeciwzapalne. Można go używać, nakładając kilka kropel na wacik i delikatnie masując bolące miejsce. To naturalne remedium działa szybko, zmniejszając dyskomfort.
Innym skutecznym sposobem jest płukanie jamy ustnej solanką. Wystarczy rozpuścić łyżeczkę soli w szklance ciepłej wody i płukać usta przez kilka minut. To nie tylko łagodzi ból, ale także pomaga w redukcji stanu zapalnego. Warto również rozważyć stosowanie zimnych okładów na zewnętrzną stronę policzka, co może pomóc w zmniejszeniu obrzęku i bólu.

Zapobieganie problemom z wyrastaniem zębów na dziąśle
Zapobieganie problemom z wyrastaniem zębów na dziąśle jest kluczowe dla utrzymania zdrowia jamy ustnej. Regularne wizyty u dentysty oraz odpowiednia higiena jamy ustnej mogą znacząco wpłynąć na zdrowie zębów. Codzienne szczotkowanie zębów co najmniej dwa razy dziennie, używanie nici dentystycznych oraz płynów do płukania jamy ustnej są podstawowymi działaniami, które pomagają w zapobieganiu stanom zapalnym i chorobom dziąseł.
Warto także zwrócić uwagę na dietę, eliminując nadmiar cukrów i kwasów, które mogą przyczyniać się do problemów z zębami. Dbanie o zdrowe nawyki żywieniowe oraz regularne kontrole u dentysty pomogą w utrzymaniu zdrowych zębów i uniknięciu problemów związanych z ich wyrastaniem.
Regularna higiena jamy ustnej - klucz do zdrowego uzębienia
Regularna higiena jamy ustnej jest niezbędna do zapobiegania problemom z zębami. Kluczowe jest, aby szczotkować zęby przynajmniej dwa razy dziennie przez co najmniej dwie minuty, używając pasty z fluorem. Dodatkowo, stosowanie nici dentystycznych pozwala na usunięcie resztek jedzenia z trudno dostępnych miejsc, co zapobiega powstawaniu płytki nazębnej.Nie należy zapominać o regularnym stosowaniu płynów do płukania jamy ustnej, które pomagają w eliminacji bakterii oraz odświeżają oddech. Warto również pamiętać o regularnych wizytach kontrolnych u dentysty co najmniej raz na sześć miesięcy, aby monitorować stan zdrowia jamy ustnej i wczesne wykrywanie ewentualnych problemów.
Jak technologia zmienia podejście do leczenia zębów na dziąśle?
W dzisiejszych czasach technologia odgrywa kluczową rolę w leczeniu problemów stomatologicznych, w tym zębów rosnących na dziąśle. Dzięki nowoczesnym technikom, takim jak skanowanie 3D i drukowanie 3D, stomatolodzy mogą dokładnie ocenić stan zdrowia jamy ustnej pacjenta i zaprojektować spersonalizowane aparaty ortodontyczne. Te innowacyjne metody nie tylko zwiększają komfort pacjenta, ale także skracają czas leczenia, co jest szczególnie ważne w przypadku młodszych pacjentów.
Dodatkowo, rozwój telemedycyny w stomatologii umożliwia pacjentom zdalne konsultacje z dentystami, co jest wygodne i oszczędza czas. Dzięki aplikacjom mobilnym pacjenci mogą monitorować swoje postępy w leczeniu, a także otrzymywać przypomnienia o wizytach kontrolnych i zaleceniach dotyczących higieny jamy ustnej. Takie podejście nie tylko poprawia jakość opieki stomatologicznej, ale także angażuje pacjentów w proces leczenia, co może prowadzić do lepszych rezultatów zdrowotnych.
